中高年の方の矯正
虫歯、歯周病で歯を失い始めた人の矯正治療
歯を失った時、大切なのは、その原因を考えることです。
歯がダメになった原因を考えずに、そこに最先端の技術でインプラントを埋入し、その上に歯を作っても長持ちはしません。歯がダメになった時には、必ずダメになった原因が存在します。
その原因、環境が改善されないままそこに歯を作っても、その歯がダメになる数年前にタイムスリップしたことにしかなりません。その歯は数年後に、またダメになるリスクが高いわけです。
お口の中が壊れていっている方は、もともと歯並びが悪い方が圧倒的に多いです。歯並びが悪いことは、歯が傷んでいく大きな原因なのです。
歯並びがガタガタで歯磨きが困難であったり、かみ合わせが悪くてバランス良く噛めないことで常にかむ力にさらされている歯は日々、傷んでいってしまうのです。そういったことは、最近の研究でだんだんと解明されてきています。
そうやって歯を失った患者さんを治療する際に、ただ虫歯を治す、ただ歯がないところにインプラントで歯を作る・・・ではダメなわけです。かみ合わせが悪かったことがお口の健康を損なった大きな原因である場合、その患者さんを治療し、その状態を長期維持するためには矯正治療が必要になります。それが50歳代、60歳代の患者さんであってもです。
そのような患者さんにとって、矯正治療は単なる審美的な目的を達成するためのものではなく、取り戻したお口の健康を維持していく上で、必要不可欠な治療の一環なのです。そのような治療は、歯の治療・矯正治療・インプラント治療、すべてに精通している当院がもっとも得意とする分野の一つでもあります。
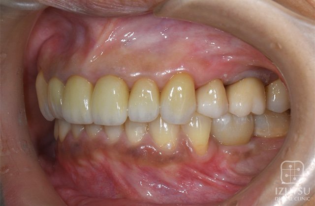
症例
59歳 女性
歯周病で歯がグラグラになっている患者さんです。上の歯はグラグラがきつかったために全て抜歯してインプラントで歯を作り、下の歯は矯正治療で正しい位置に歯を動かしました。


58歳 女性
奥歯がなくなり入れ歯をいれている患者さんです。奥歯がしっかりと咬めないため、前歯がグラグラしてきており、お口の中は崩壊に向かっていました。インプラントを用いて奥歯をしっかりと噛めるようにし、矯正治療を行っておかしな位置に動いてしまっている歯を正しい位置にもどし、治療しました。


42歳 女性
奥歯がなくなり、出っ歯になっている患者さんのお口の中を、インプラントと矯正治療を併用して治療しました。著しく出ていた前歯が引っ込んだせいで、唇が閉じれるようになりました。































